
Scientists in the UK have for the first time used genome editing to study DNA function in human embryos, an advance that could help better understand the biology of our early development. Researchers from the Francis Crick Institute in the UK revealed the role of a key gene in human embryos in the first few days of development.
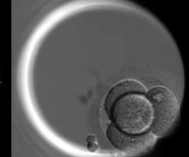
They used genome editing technique called CRISPR/Cas9 to stop a key gene from producing a protein called OCT4, which normally becomes active in the first few days of human embryo development. After the egg is fertilised, it divides until at about seven days it forms a ball of around 200 cells called the ‘blastocyst’.
“Other research methods, including studies in mice, suggested a later and more focused role for OCT4, so our results highlight the need for human embryo research,” said Fogarty, first author of the study published in the journal Nature. “One way to find out what a gene does in the developing embryo is to see what happens when it is not working,” said Kathy Niakan from the Francis Crick Institute, who led the research.
“If we knew the key genes that embryos need to develop successfully, we could improve IVF treatments and understand some causes of pregnancy failure. It may take many years to achieve such an understanding, our study is just the first step,” said Niakan. The team spent over a year optimising their techniques using mouse embryos and human embryonic stem cells before starting work on human embryos.
To inactivate OCT4, they used CRISPR/Cas9 to change the DNA of 41 human embryos. After seven days, embryo development was stopped and the embryos were analysed. The embryos used in the study were donated by couples who had undergone in vitro fertilisation (IVF) treatment, with frozen embryos remaining in storage.
The majority were donated by couples who had completed their family, and wanted their surplus embryos to be used for research. The study was done under a research licence and strict regulatory oversight from the Human Fertilisation and Embryology Authority (HFEA), the UK government’s independent regulator overseeing infertility treatment and research.
As well as human embryo development, OCT4 is thought to be important in stem cell biology. ‘Pluripotent’ stem cells can become any other type of cell, and they can be derived from embryos or created from adult cells such as skin cells.