
One in every six cancers is caused by an infection that is preventable or treatable,according to a study conducted by researchers at the International Agency for Research on Cancer in France.
The study,published in The Lancet Oncology journal on Wednesday,looked at incidence rates for 27 cancers in 184 countries in 2008. While the research did not take India into account,doctors here said the figure is likely to be much higher than the global average of 16 per cent.
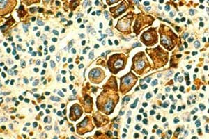
Of the 2 million cases,1.9 million infections were caused by human papillomaviruses,helicobacter pylori and hepatitis B and C viruses mainly causing gastric,liver,cervical and uterine cancers.
Nearly a third of the cases occured in people of ages less than 50. Among women,cancer of the cervix accounted for about half of all infection-related cancers. In men,more than 80 per cent were liver and gastric cancers.
Drs Catherine de Martel and Martyn Plummer,who led the research,were quoted by BBC as saying,Infections with certain viruses,bacteria,and parasites are some of the biggest and preventable causes of cancer. Application of public health methods for infection prevention,like vaccination,could have a substantial effect.
Dr Shyam Aggarwal,consultant oncologist at Sir Ganga Ram Hospital,said: Hepatitis B and C infections are among the leading precursors of liver cancer and are very common in southeast Asia. In fact,I would say in India viral infections account for 25-30 per cent of all cervical cancers and there is a reasonably effective vaccine,though it is expensive.