April 25, 2026 3:00 pm
Many cases of hair fall are not just due to external factors like pollution or hair products, but internal deficiencies or hormonal imbalances.
April 06, 2026 5:00 pm
A UK doctor explains why normal blood tests might miss underlying health issues and concerning trends.
April 02, 2026 8:33 am
After a demanding year, Shoaib Ibrahim gets back on track—can a simple blood test be the first step to rebuilding fitness safely?
September 12, 2025 10:28 am
Borderline results should not be ignored, as they often signal the beginning of metabolic or cardiovascular changes, which may not require medication right away, but they do call for lifestyle changes.
December 15, 2024 2:38 pm
Many people commonly think of clinical tests as purely diagnostic. For example, a COVID-19 or a pregnancy test comes back as either positive or negative, telling you whether you have a particular condition. However, most tests don't work this way
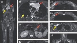
December 05, 2024 6:11 pm
The study looked at what should be done next, and the researchers concluded that it's best to do a whole-body MRI to look for cancer
September 27, 2024 3:28 pm
Questions about the accuracy of lab tests, the methods used, and how to ensure you're choosing a reliable lab are crucial for anyone concerned about their health.
August 06, 2024 9:39 am
A non-medico can read the report as nowadays most reports come with the normal range of values. But what a non-medico should not do is self-diagnose or Google search his or her findings based upon the report, said Pruthu Dhekane, consultant infectious disease, Manipal Hospital, Baner, Pune
July 29, 2024 5:37 pm
New blood tests offer hope for faster, more accurate Alzheimer's diagnosis, but their reliability varies widely.
January 07, 2023 5:23 pm
Dr Pravat Mandal, a researcher from the National Brain Research Centre, believes that the levels of the antioxidant glutathione and iron in critical parts of the brain are predictors of Alzheimer’s. With a specialised MRI machine that can detect chemical compounds in the brain, he is awaiting a trial to be conducted with AIIMS


